矯正ってなんだろう?

歯並びが悪いと、歯が磨きにくく、むし歯や歯周病になりやすくなります。また、食べ物がよく咬めず、発音も悪くなることがあります。子どものころの悪い歯並びは心理的な悪影響だけではなく、顎や顔、全身の成長や発育にも影響を及ぼします。
美しい歯並びで大切なことは、どんな食べ物でもよく咬めるということです。さらに健康な笑顔と大きな自信を与えてくれます。
当院では、お子さんの歯の状態や成長にあわせた矯正治療を行っています。歯並びについて、どうぞお気軽にご相談ください。
矯正治療の流れ
-
来院・初診(相談)
ご予約をいただいて来院していただきます。
気になる歯並びなど、矯正治療についてお気軽にご相談ください。
※むし歯がある場合、むし歯の治療を優先させていただきます。 -
精密検査
お口の中および顔の写真、レントゲン写真、歯型、生活習慣のチェックを行います。必要に応じてCT撮影も行います。
-
診断・検査結果の説明
資料を元に診断を行い、今後の治療方法や装置、治療にかかる期間や費用のご説明をします。
-
動的治療の開始
説明をご理解していただいた上で、治療を開始します。また矯正装置の装着時に、装置の取り扱い等についてご説明させていただきます。
※動的治療とは…歯を動かして歯並びを治していく治療のこと。 -
動的治療終了
口の中に装着した矯正装置を除去します。治療後の咬み合わせを維持するため、保定装置を使用します。
-
治療後の管理
定期観察を行います。
治療経過の確認、お口の中のクリーニングを行います。
実際の症例
-
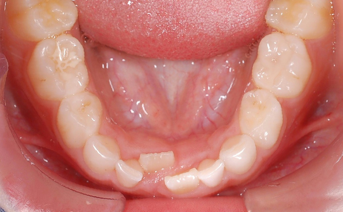
叢生(そうせい)

八重歯・乱ぐい歯など、歯が重なり合っている状態を言います。叢生の場合、歯ブラシが届かず汚れが残りやすくなります。
-
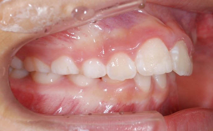
上顎前突(出っ歯)

上の歯が前に出ている状態を言います。歯が出ていると発音に影響が出ます。また折れたり唇を切ったりしやすく、見た目もあまりよくありません。
-
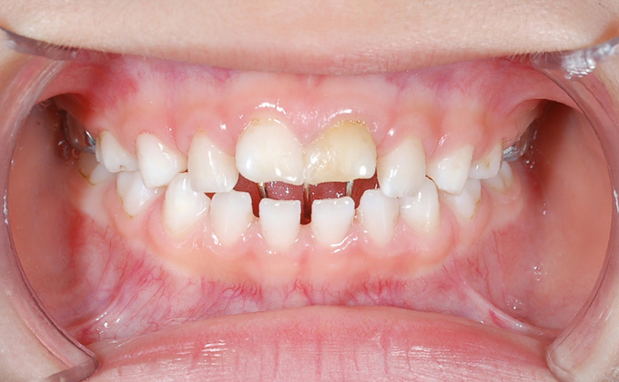
反対咬合(受け口)

下の歯が上の歯より前に出ている状態を言います。 反対咬合の人は、食べ物がよく咬めないだけでなく、聞きとりにくい話し方になります。 ※歯が原因の場合と骨格が原因の場合があります。
-
交叉咬合

上下の歯の咬み合わせが横にずれている状態をいいます。交叉咬合は放置することで、成長期に左右で顎の成長に差が生じ、顔の歪みが生じます。
-
開 咬

奥歯は咬んでいても、前歯が咬み合わずに開いている状態をいいます。常に前歯が開いているので、前歯で食べ物が咬めない、しゃべるときに息が漏れる、などの症状があります。





